i anketa Nije sve samo u kilogramima Znanstvenici upozoravaju: Skrivena mjesta gdje se masnoća nakuplja u tijelu povezana su s propadanjem mozga
i anketa Više od refleksa Zijevanje čini nešto posve neočekivano u našim mozgovima, a znanstvenici kažu: "Ovo uopće nismo očekivali"
i anketa Mnogi nisu svjesni Otkrivena skrivena kombinacija koja ubrzava starenje mozga i povećava rizik od Alzheimerove bolesti
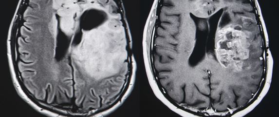
i anketa Revolucionarna ideja Znanstvenici testiraju kapi za nos koje izravno napadaju jedan od najopakijih tumora
i anketa Suprotno očekivanjima Fascinantno otkriće riješilo jedan velik misterij vezan za mozak i san
i anketa Stvarno ne treba puno Tajni recept za usporavanje Alzheimerove bolesti? Već i obična skromna šetnja
i anketa Eksperiment kanadskih znanstvenika Zaboravite križaljke: Ova mobilna aplikacija doslovce pomlađuje mozak za 10 godina
i anketa Loše vijesti za "noćne ptice" Kako ste spavali ne utječe samo na raspoloženje, već i na zdravlje mozga
i anketa Mix Stručnjak savjetuje kako ovih 5 namirnica pomaže održati mozak mladim. Pogledajte što vam pomaže
i anketa Revolucionaran iskorak u medicini Terapija budućnosti? Nosiva ultrazvučna kaciga omogućava liječenje mozga bez kirurških zahvata